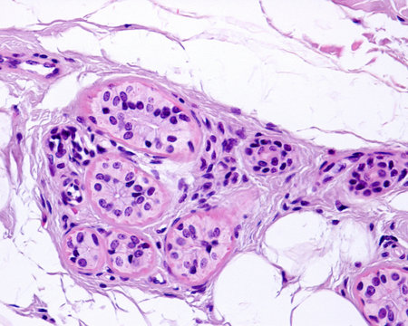
エクリン腺(エクリンせん:Eccrine sweat glands)は、人間のほぼ全身の体表面に分布している汗腺。人間が出す汗の殆どはこのエクリン腺からの汗(エクリン汗という)である。エクリン汗の成分はアポクリン腺からの汗(アポクリン汗)に比べて薄い。
エクリン腺は、毛包とは独立していて、比較的皮膚表面から浅いところに位置する。エクリン腺がない部位は、陰茎の亀頭、包皮の内側、陰核、小陰唇、外耳道、爪床、唇などである。
関連項目
- 腺
- 汗腺





エクリン腺(エクリンせん:Eccrine sweat glands)は、人間のほぼ全身の体表面に分布している汗腺。人間が出す汗の殆どはこのエクリン腺からの汗(エクリン汗という)である。エクリン汗の成分はアポクリン腺からの汗(アポクリン汗)に比べて薄い。
エクリン腺は、毛包とは独立していて、比較的皮膚表面から浅いところに位置する。エクリン腺がない部位は、陰茎の亀頭、包皮の内側、陰核、小陰唇、外耳道、爪床、唇などである。




